+971 50 6366 766 info@germanmec.com
  • En
  • Ar
  • CERASORB® M Granulate

    • CERASORB-M-Granulate
    • CERASORB-M-Granulate
    • CERASORB-M-Granulate

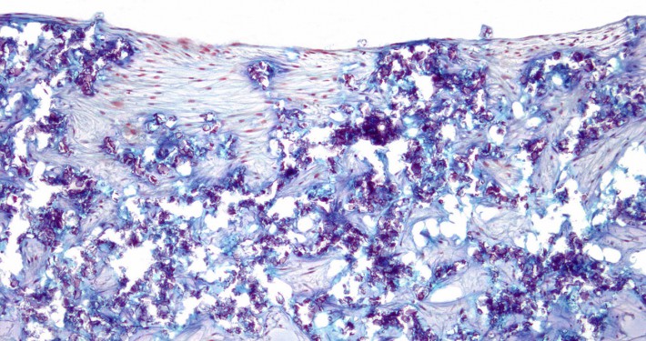
    CERASORB® M is a further development based on CERASORB® Classic. It has an interconnecting, open multi-porosity with micro -, meso – and macropores (5 μm – 500 μm) and an overall porosity of approximately 65%. The granules are polygonal, i.e., irregularly shaped, which enhances intercalation and interlocking in the defect cavity. Micro movements that can delay the healing process are largely avoided.

    Depending on the area of application, CERASORB® M granulate is available in different grain sizes for oral bone surgery: 150 – 500 μm, 500 – 1,000 μm, and 1,000 – 2,000 μm.

    • The large, highly coarse surface area provides for increased osteoconductivity
    • Special open multiporosity allows active, continuous cell supply
    • Shortened resorption time; the micro -, meso-, and macropores promote fast healing with the patient’s autologous bone
    • Implantology
    • Sinus floor elevation
    • General grafting
    • Defect repair

    Indications may differ from country to country

     

    Cerasorb_M_Granulat_03

    CERASORB® Perio

    CERASORB® Perio was specially developed for treating periodontal bone defects. It is a polygonal broken granulate available in grain sizes of 250 – 500 μm.

    • Stable agglomerate by intercalation and interlocking of the polygonal granules
    • Optimized resorption rate because of adapted, that is, reduced porosity
    • The special granule size and its lower porosity of ca. 20 % ensure an adequately delayed resorption rate for the indication. This inhibits unintended premature resorption.
    • Stable agglomerate by intercalation and interlocking of the polygonal granules
    • Optimized resorption rate because of adapted, that is, reduced porosity

    Indikationsgebiete:

    • Füllung und/oder Rekonstruktion nicht infizierter, parodontaler Knochendefekte
    • Auffüllung von ein- oder mehrwandigen Knochentaschen
    • Auffüllung von Bi- und Trifurkationsdefekten von Zähnen

    Indications may differ from country to country